| Major Groups > Gilled Mushrooms > Pale-Spored > Marasmioid > Marasmius floridanus |

|
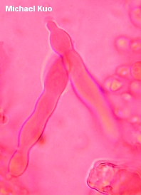
Marasmius floridanus [ Basidiomycetes > Agaricales > Marasmiaceae > Marasmius . . . ] by Michael Kuo Very similar to the better known Marasmius sullivantii, this species is a medium-sized marasmioid mushroom with a brownish orange to brown cap, and a completely bald stem. The cap of Marasmius sullivantii is bright orange when fresh, and somewhat smaller--and the stem of that species is finely hairy or silky. Microscopic features (see below) also separate the two species. Martina Gilliam's species Marasmius spadiceus, described in 1976 on the basis of a Michigan collection, is also similar--so similar, in fact, that Dennis Desjardin (1991) has synonymized it with Marasmius floridanus, which was named by William Murrill in 1940 on the basis of collections made in Florida. Gilliam describes a brown species, while Murrill's original description calls his species "fulvous" and notes that it is "[v]ery striking and handsome and remaining attractive when dried," leaving the impression that the species he was describing was a little more brightly colored. But Desjardin argues that this minor difference in cap color, along with a minor difference in stem color and habitat preference, is not enough to justify separating two species, especially when they are indistinguishable under the microscope. "In honor of Florida" is what the species epithet means. You would think, however, that Old Murrill might have at least said floridanus out-loud a few times before rushing to publish. I mean, he could have just used floridensis, which would have meant "from Florida," more or less. But he had to go ahead with that honoring thing . . . Description: Ecology: Saprobic on leaf litter, woody debris, and logs in hardwood forests; growing scattered or gregariously; summer and fall; known from the Midwest and from the southeastern United States. Cap: 1-5 cm across; convex, becoming flat; thin; not pleated but occasionally slightly lined near the margin; bald or very finely velvety; dry; brownish orange, rust-colored, orangish brown, or brown; fading markedly as it dries out; often with a darker central area; opaque. Gills: Narrowly attached to the stem or free from it; close or nearly distant; whitish, becoming creamy or faintly yellowish. Stem: 2-7 cm long; 1.5-3 mm thick; equal; dry; bald; white at the apex, orangish in the midsection, reddish brown to brown below. Flesh: Thin; insubstantial; whitish. Odor and Taste: Not distinctive. Chemical Reactions: KOH negative to faintly olive on cap surface. Spore Print: White. Microscopic Features: Spores 7-11 x 3-4 µ; smooth; elliptical; inamyloid. Pleurocystidia variously shaped (cylindric, fusiform, subclavate); flexuous; often with a mucro and/or constrictions; conspicuous; to about 60 x 10 µ; cheilocystidia as broom cells with fingerlike projections. Pileipellis a hymeniform layer of broom cells with numerous fingerlike projections. REFERENCES: Murrill, 1940. (Gilliam, 1976 [M. spadiceus]; Desjardin, 1991.) Herb. Kuo 09071202. This site contains no information about the edibility or toxicity of mushrooms. |
© MushroomExpert.Com |
|
Cite this page as: Kuo, M. (2013, February). Marasmius floridanus. Retrieved from the MushroomExpert.Com Web site: http://www.mushroomexpert.com/marasmius_floridanus.html |