| Major Groups > Gilled Mushrooms > Pale-Spored > Collybioid > Gymnopus alkalivirens |

|
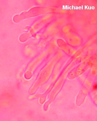
Gymnopus alkalivirens [ Basidiomycetes > Agaricales > Marasmiaceae > Gymnopus . . . ] by Michael Kuo This small, dark brown saprobe appears in northern and montane areas of North America, and can be recognized quickly if a drop of KOH or ammonia is applied to its cap, producing a green color change. But without the chemical Collybia alkalivirens is a synonym. Description: Ecology: Saprobic; growing alone, scattered, gregariously, or in clusters on soil, leaf and needle litter, woody debris, and among mosses or ferns; found in hardwood, conifer, and mixed forests; summer and fall; apparently widely distributed in northern North America, the Appalachians, and the Rocky Mountains. Cap: 1-4.5 cm; convex, becoming broadly convex or nearly flat, with a low central bump; greasy; bald; sometimes becoming somewhat wrinkled; dark brown to dark purplish brown, developing a pale margin and eventually fading to cinnamon or buff overall; the margin sometimes becoming lined. Gills: Attached to the stem or nearly free from it; close; medium brown to pale brownish. Stem: 3-8 cm long; up to about 5 mm thick; more or less equal, or with a slightly swollen base; dry; bald; colored like the cap; with brownish fuzz near the base. Flesh: Whitish to brownish; thin. Odor and Taste: Not distinctive. Chemical Reactions: Ammonia or KOH promptly green on all surfaces. Spore Print: White. Microscopic Features: Spores: 5-8 x 2.5-4 µ; smooth; lacrymoid to elliptical; inamyloid. Pleurocystidia absent. Cheilocystidia scattered; cylindric to subclavate; sometimes somewhat lobed or with projections; to about 70 µ long. Pileipellis a cutis of branched elements 3-5 µ wide; greenish in KOH; sometimes encrusted with brown pigment. Hyphae of the gill, cap, and stem trama encrusted with scattered brown granules. REFERENCES: (Singer, 1948) Halling, 1997. (Smith, Smith & Weber, 1979; Halling, 1981; Halling, 1983; Phillips, 1991/2005; Lincoff, 1992; Halling, 2004.) Herb. Kuo 08041001. This website contains no information about the edibility or toxicity of mushrooms. |
© MushroomExpert.Com |
|
Cite this page as: Kuo, M. (2013, February). Gymnopus alkalivirens. Retrieved from the MushroomExpert.Com Web site: http://www.mushroomexpert.com/gymnopus_alkalivirens.html |